近日,一种实时术中磁共振成像引导下将干细胞疗法输送到颅内以治疗帕金森病(PD)的临床试验已经获得了美国监管机构的批准。相关的基础研究成果已经发表在了Journal of Neurosurgery杂志。

PD是一种神经退行性疾病,主要影响大脑中的多巴胺能神经元,导致运动障碍。传统的治疗方法多依赖于药物缓解症状,但难以从根本上修复神经损伤。近年来,基于神经干细胞移植的治疗方案成为研究热点,为了提高移植的成功率和细胞存活率,精确定位干细胞的注射点至关重要。
实时术中磁共振成像(real-time intraoperative MRI, RT-iMRI)是一种能够在手术进行的同时生成高分辨率的核磁三维图像,动态监测手术进展,确保手术器械和药物注射的精准定位。研究显示,接受RT-iMRI引导下干细胞移植的食蟹猴,其运动功能和神经恢复情况显著优于传统方法。
这项研究使用人类诱导多能干细胞(iPSC)衍生的多巴胺能神经前体细胞(dopaminergic neuroprogenitor cells, DANPCs),通过RT-iMRI引导,将这些细胞输送到食蟹猴的壳核(Putamen),确保干细胞注射到目标脑区的精准性和有效性。

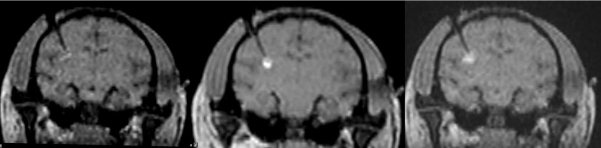
实验设计、给药方案以及用于将细胞或载体精确注射到目标区域的核磁共振兼容输液系统。(A)实验设计和时间线:九只食蟹猴接受了壳核内注射载体(V)或细胞(C)。在术后7天(V7,C7)或30天(V30,C30)对动物进行了一系列临床和行为结果的评估,然后实施安乐死。(C)和(D):核磁共振兼容的立体定向框架被修改成模块化设计,可以适应不同大小的受试者和手术方法。(G):核磁共振兼容的Aspen Neuroscience定制SmartFlow Neuro导管
实验设计与方法

利用术中核磁共振成像技术引导细胞移植到大脑特定区域的过程,以及移植细胞在术后30天的存活和分布情况。(D),(F)和(H):在细胞移植后30天,在与(C),(E)和(G)相对应的三个冠状面水平上检测到STEM121阳性的人类细胞,表明移植的细胞存活并分布在注射区域。(d),(f)和(h):(D),(F)和(H)中方框区域的更高放大倍数图像,更清晰地展示了STEM121阳性细胞的分布。
主要发现与结果
 不同治疗组的食蟹猴壳核中STEM121表达的差异,可以评估细胞移植的疗效和细胞存活的持久性。(A):接受载体治疗7天的猴子(V7-1)的冠状脑切片,经过STEM121免疫染色和尼氏复染。(B):接受细胞治疗7天的猴子(C7-2)的冠状脑切片,经过STEM121免疫染色和尼氏复染。(C):接受细胞治疗30天的猴子(C30-1)的冠状脑切片,经过STEM121免疫染色和尼氏复染。(a),(b)和(c):分别对应(A),(B)和(C)中方框区域的更高放大倍数图像,更清晰地展示了STEM121阳性细胞和纤维的分布。黑色箭头:指向STEM121阳性纤维。
不同治疗组的食蟹猴壳核中STEM121表达的差异,可以评估细胞移植的疗效和细胞存活的持久性。(A):接受载体治疗7天的猴子(V7-1)的冠状脑切片,经过STEM121免疫染色和尼氏复染。(B):接受细胞治疗7天的猴子(C7-2)的冠状脑切片,经过STEM121免疫染色和尼氏复染。(C):接受细胞治疗30天的猴子(C30-1)的冠状脑切片,经过STEM121免疫染色和尼氏复染。(a),(b)和(c):分别对应(A),(B)和(C)中方框区域的更高放大倍数图像,更清晰地展示了STEM121阳性细胞和纤维的分布。黑色箭头:指向STEM121阳性纤维。创新与意义


关于浦灵生物
上海浦灵生物科技有限公司是一家专业从事新药的临床前和准临床评估及新药技术开发的“高新技术企业”和“上海市专精特新中小企业”,并获得AAALAC完全认证。
浦灵生物致力于成为大动物药理药效研究领航者,专注于新药临床前和准临床评估、新药技术开发。提供基于非人灵长类(食蟹猴)等多种实验动物的疾病模型、药理药效研究、安全性评价、生物标志物研究和机制概念验证等服务。浦灵生物建立了符合制药工业标准的转化医学中心,已与众多国内外TOP药企、生物技术公司、学术机构研究建立了长期合作。

*We respect your confidentiality and all information are protected.