中风,又称卒中,是由脑血管循环受阻或破裂导致的急性脑功能障碍。中风主要分为两种类型:缺血性中风和出血性中风。其中,缺血性中风由于血栓或栓塞导致的血流减少更为常见。中风是致死和致残的主要原因之一,对公共健康带来了巨大的挑战和负担。

成功的动物模型能够模拟人类疾病的病理过程,是研究人员探索疾病进展和疗效评估的重要工具。相比于常用的小型动物模型(如大鼠或小鼠),食蟹猴的大脑结构更接近人类,特别是在皮层和白质比例上,能更准确地反映人类的疾病进展和治疗反应。此外,猴子的较大体型为实时成像、手术操作及药物干预提供了更多空间,从而保证了研究的精确性和可控性。因此,猴模型在模拟复杂的人类疾病时,具有不可替代的优势。
          
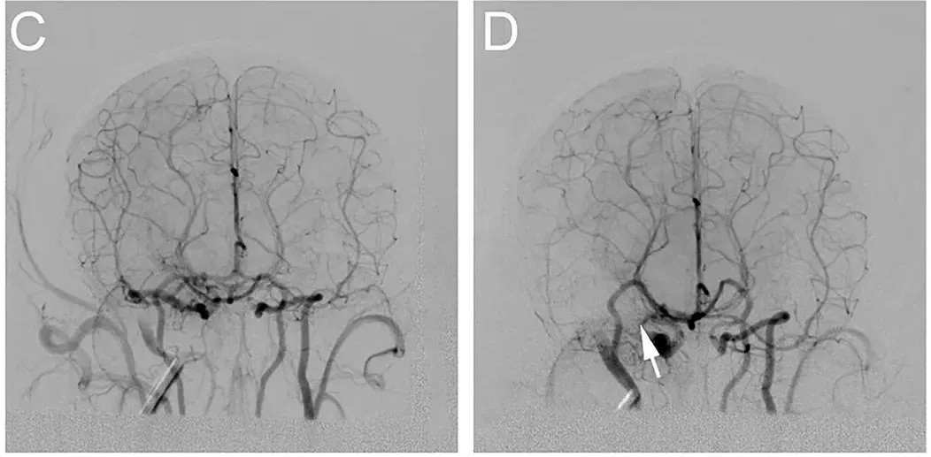
浦灵生物的MCAO(Middle Cerebral Artery Occlusion,大脑中动脉闭塞)模型是模拟缺血性中风的有效动物模型。通过精确控制闭塞部位和时间,该模型精确再现了人类中风的病理过程,为研究中风机制和潜在治疗方案提供了重要工具。   DSA脑血流成像和实时大脑中动脉栓塞中风影像。
目前,浦灵生物已建立的成熟食蟹猴MCAO模型,相关数据已发表于Frontiers in Neurology杂志,并借助该动物模型成功助推了多款新药的临床前药效评价。- 血管再通情况:使用CTA、MRA和CTP成像评估血管再通效果。
- 脑组织的缺血变化:通过MRI和DWI序列观察急性脑缺血区域。
- 行为学表现:手术后连续7天记录猴子神经功能缺损评分,关注意识、运动系统及协调性等。
- 脑组织染色:使用TTC染色检测梗死区域,以评估脑损伤的范围和程度。 
两组MCAO模型的CT扫描图像对比总结。在实验组中,术后24小时和第7天进行的CT血管造影(CTA)扫描显示,MCA及其远端分支再通,但实验组的MCA未显影。两组在CT灌注(CTP)扫描中的差异显著(白色箭头)。
- 临床相关性强:该模型使用自体静脉血栓诱导中脑动脉闭塞,模拟了临床上最常见的缺血性中风类型,能够更真实地反映人类中风的发病机制和治疗效果。
- 微创性操作:通过DSA指导下的血管插管,血栓定位准确且手术创伤小,降低了实验动物的术后并发症风险,减少手术干扰,提高实验结果的真实度。
- 高重复性和稳定性:模型建立的成功率较高,能够保证较为一致的结果,从而为后续的实验研究提供稳定的基础。   
术后第7天,每组猴子的神经功能缺损评分。溶栓治疗7天后,实验组的评分较对照组显著下降。数据以平均值±标准差呈现。纵轴表示神经功能缺损评分,横轴表示梗塞后的时间。   
- 丰富的成像评价:通过CTA、CTP、MRI等成像手段对模型进行多维度的实时监测,能够直观且准确地评估脑血管再通情况及脑组织的缺血损伤。
- 较低的死亡率:该模型在手术过程中对动物的创伤小,手术操作安全,通过临床标准的护理,提高实验动物的存活率,显著降低了实验动物的死亡率,保证长期研究的可行性。
- 超急性期剂量评估:模型允许在中风发生后的超急性期进行药物剂量和效果的评估。
除了在中枢神经系统和缺血性中风模型方面的领先技术,浦灵生物还专注于研究血液相关的疾病,尤其是在出血性和凝血性疾病(Bleeding & Clotting disease modeling)领域。其出血与凝血疾病模型涵盖了多种常见和罕见的病理状态,如血友病A(Hemophilia A)、动静脉分流(A-V Shunt)、脑内出血性中风(Intracerebral Hemorrhagic Stroke)等模型。这些模型为相关疾病的病理机制研究及新疗法的开发提供了可靠的实验平台,进一步巩固了浦灵生物在临床前大动物药效学研究领域的专业地位。展望未来,浦灵生物将继续致力于开拓创新的研究方法,以应对中风和相关疾病的全球挑战。我们将加强与业界伙伴的合作,推动研究成果的临床转化,最终为患者提供更有效的治疗方案。Ye J, Shang H, Du H, et al. An Optimal Animal Model of Ischemic Stroke Established by Digital Subtraction Angiography-Guided Autologous Thrombi in Cynomolgus Monkeys[J]. Frontiers in Neurology, 2022, 13: 864954. https://doi.org/10.3389/fneur.2022.864954    
上海浦灵生物科技有限公司是一家专业从事新药的临床前和准临床评估及新药技术开发的“高新技术企业”和“上海市专精特新中小企业”,并获得AAALAC完全认证。浦灵生物致力于成为大动物药理药效研究领航者,专注于新药临床前和准临床评估、新药技术开发。提供基于非人灵长类(食蟹猴)等多种实验动物的疾病模型、药理药效研究、安全性评价、生物标志物研究和机制概念验证等服务。浦灵生物建立了符合制药工业标准的转化医学中心,已与众多国内外TOP药企、生物技术公司、学术机构研究建立了长期合作。探索更多,合作共赢
· 官方网站:www.prisysbiotech.com· 电子邮箱:bd@prisysbiotech.com· 公司地址:上海市奉贤区金海公路6055号35号楼