引言
肝纤维化是多种慢性肝病进展过程中不可逆转的重要病理特征,也是代谢相关脂肪性肝病(MASLD/MASH)向肝硬化演变的关键节点。在抗纤维化药物研发中,如何在临床前阶段稳定、可控地重现与人类高度一致的纤维化进程,始终是影响转化成功率的核心难题。
浦灵生物基于非人灵长类(NHP)的转化医学研究经验,构建了以高脂高果糖饮食(HFFD)诱导的食蟹猴 MASH 模型(Metabolic dysfunction–associated steatohepatitis, MASH。MASH 是一种基于代谢功能障碍的新型非酒精性脂肪性肝炎模型,学界亦常称之为旧称 “NASH”),作为核心的肝纤维化研究平台,为抗纤维化药物的系统评价提供更具临床预测性的研究工具。
从 NASH 到肝纤维化:高度相关且可追踪的病理连续体?
大量临床与基础研究表明,MASH 并非单一炎症状态,而是一种伴随代谢紊乱、肝细胞损伤及纤维化风险显著升高的综合性病理阶段。在这一过程中,脂肪变性与炎症反应可在早期并存,并在持续代谢应激背景下,共同推动肝脏结构重塑及纤维化相关改变的发生。
浦灵生物的食蟹猴 MASH 模型,正是围绕这一临床共识进行设计:

(联系我们,了解更多详细数据)
以代谢异常为核心驱动因素
在较长时间尺度内重现肝脏病理的持续演变
在MASH表型基础上,逐步出现可评估的纤维化相关特征
这种设计,使该模型在病理机制上与肝纤维化高度关联,特别适用于早期及进展期抗纤维化干预策略的研究与验证。
为什么选择“诱导型”而非“自发型”模型
在非人灵长类研究中,从老年猴群中筛选自发性肝纤维化个体,虽然在理论上贴近自然病程,但在实际研发中存在明显局限:
动物个体差异大,入组标准难以统一
纤维化进展速度不可预测
项目周期长、可重复性有限
不利于系统性的药效学设计与统计分析
相比之下,基于HFFD的诱导型MASH/肝纤维化模型在以下方面更具转化医学价值:
病理诱导条件明确,模型进展具有可控性
可通过多维指标进行动态筛选与分层
更适合药效学研究中对基线一致性的要求
有利于项目周期与研究终点的科学规划
因此,以高脂高果糖饮食(HFFD)诱导的食蟹猴MASH 模型为核心的肝纤维化研究平台,不仅关注“是否出现纤维化”,更强调“在可控条件下如何评估纤维化的形成与干预效果”。

(联系我们,了解更多详细数据)
多维度、定量化的肝纤维化评估体系:
血液与代谢指标监测:动态评估肝功能、生化指标及代谢状态变化,为疾病进展提供系统性背景信息。
影像学定量评估:采用临床相关的影像手段,对肝脏脂肪沉积及组织力学特征进行纵向监测,支持无创、重复评估。
组织病理学金标准分析:在关键研究节点获取肝组织样本,通过经典染色与国际通用评分体系,对MASH 活动度及纤维化程度进行确认。
已在实际项目中验证的研究能力
基于该食蟹猴MASH/肝纤维化模型,浦灵生物已支持多项相关研究,覆盖不同作用机制的候选药物。该平台特别适用于:
抗纤维化候选物的早期筛选与机制验证

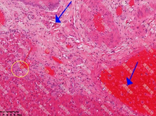
门静脉区淋巴细胞渗透(蓝色箭头)肝实质细胞坏死并被纤维组织取代(红色箭头)
(联系我们,了解更多详细数据)
关于浦灵生物
上海浦灵生物科技有限公司是一家专注于新药临床前和准临床评估及技术开发的“高新技术企业”和“上海市专精特新中小企业”,并通过了 AAALAC 完全认证。公司致力于成为大动物药理药效研究的领航者,专注于基于非人灵长类(食蟹猴)等实验动物的疾病模型开发、药理药效研究、安全性评价、生物标志物分析,以及机制概念验证等服务。

浦灵生物在转化医学研究领域建立了符合制药工业标准的高水平研发平台,能够为新药开发提供科学严谨的实验支持与数据服务。公司已与国内外顶尖药企、生物技术公司及学术机构建立了长期合作关系,凭借创新技术、专业能力与高质量服务,为药物研发领域的发展贡献力量。

探索更多,合作共赢
· 网站:www.prisysbiotech.com
· 邮箱:bd@prisysbiotech.com
· 地址:上海市奉贤区金海公路6055号35号楼
*We respect your confidentiality and all information are protected.