类风湿关节炎(Rheumatoid Arthritis,RA)是一种病因复杂的慢性全身性自身免疫性炎症疾病,主要表现为滑膜增生、关节软骨和骨组织的破坏及重塑。RA影响着全球约1%的人口,显著降低患者生活质量。新疗法的开发依赖于能够模拟人类疾病特征的临床前模型。浦灵生物基于非人灵长类(NHP)的RA模型,提供了精准且可靠的研究工具,为RA治疗的探索注入新动力。
目前的RA研究多采用啮齿动物模型,但这些模型在免疫系统复杂性和关节结构方面与人类存在显著差异,限制了研究成果的临床转化能力。非人灵长类动物(如浦灵生物使用的食蟹猴)在免疫系统和关节结构方面与人类高度相似,使其成为研究RA发病机制、疾病进程及治疗反应的理想模型。浦灵生物的RA模型基于胶原诱导性关节炎(CIA),能够真实再现RA的关键病理特征,如滑膜炎症、关节软骨和骨骼破坏,以及关节肿胀和功能障碍。   2、全面的疾病评估体系          
浦灵生物建立了科学且多维度的评估体系,包括:
- 精细的关节检查:严格按照标准流程检查每只动物的64个关节,包括MCP、PIP、DIP、腕/踝及膝/肘关节。    
- 动态评分监测:定期记录关节炎评分及疾病的发病时间和进展。
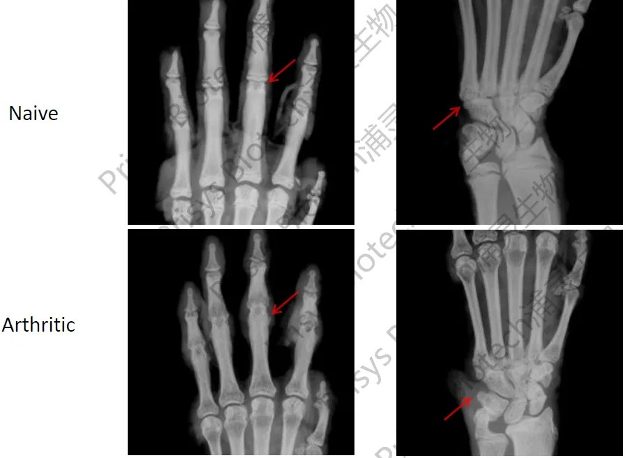
- 影像学评估:通过X光或CT成像直观观察骨密度丢失及关节变形。
- 生物标志物分析:检测血清和关节液中RA相关的生物标志物,如CRP、ALP、抗II型胶原抗体、IL-6、TNF-α、GM-CSF等,为疾病诊断和疗效评估提供重要依据。
- 组织病理学分析:通过关节组织染色研究疾病的病理机制。

- 体重变化监测:记录动物体重变化,评估疾病的全身性影响。
- 通过对发病率、关节炎评分、影像学及生物标志物数据的系统分析,验证模型的稳定性和可靠性(CRP与关节炎概率/严重程度的相关性分析)。
- 浦灵生物的NHP RA模型适用于评估传统药物(如甲氨蝶呤、地塞米松)和新型生物制剂的疗效,支持多种终点的验证性和探索性分析,以满足不同研究需求。
- 浦灵生物是业内率先建立工业级食蟹猴CIA模型的团队,通过持续优化模型建立与评估方法,实现高达90-100%的发病率和良好的重复性。
考虑到在免疫干预之外,临床上RA病人也需要分析在治疗后的运动功能改善情况;浦灵生物开创性地建立了独家AI-3D食蟹猴行为量化分析系统,可用于建立猴RA疾病行为学图谱,并用于分析药物干预后的行为改善,增强了临床前数据的转化性并丰富了药效评估维度。
NHP Behavior Atlas系统通过AI算法和多视角三维追踪,实现了对动物行为的自动化、精细化分析:
- 自动识别:无需物理标记或人工干预,快速捕捉骨架结构和行为序列。
- 行为谱分析:覆盖14种常见行为,可扩展识别范围,精准记录步态和动作变化。
- 动态监测:灵敏检测运动轨迹,生成膝关节角度等动力学数据,为疾病功能评估提供重要依据。
- 跑步机动态评估技术:通过实时捕捉运动轨迹和步态特征,量化RA引起的运动功能变化,特别适用于步态评估和负重实验。

浦灵生物不仅提供高质量的RA模型,还致力于为客户提供全面的技术支持和定制化服务,包括:
- 经验丰富的科研团队:深厚的NHP模型构建和疾病研究经验,为客户提供专业咨询和技术支持。
- 标准化的实验操作流程:严格遵循国际标准,确保数据可靠性和可重复性。
- 定制化的研究方案:根据具体研究需求设计个性化实验方案,确保项目顺利实施。   
结语:类风湿性关节炎研究的突破,离不开科学严谨的临床前模型。浦灵生物的NHP RA模型,凭借其高度模拟人类疾病特征、全面的评估体系及丰富的技术经验,为RA新药研发和转化医学提供了重要助力。我们期待与您携手,共同推进RA治疗研究,为患者带来更多希望和福祉。了解更多关于浦灵生物RA模型的信息,请访问我们的网站 www.prisysbiotech.com,或联系我们的商务团队 bd@prisysbiotech.com / 021-50435616。上海浦灵生物科技有限公司是一家专业从事新药的临床前和准临床评估及新药技术开发的“高新技术企业”和“上海市专精特新中小企业”,并获得AAALAC完全认证。

浦灵生物致力于成为大动物药理药效研究领航者,专注于新药临床前和准临床评估、新药技术开发。提供基于非人灵长类(食蟹猴)等多种实验动物的疾病模型、药理药效研究、安全性评价、生物标志物研究和机制概念验证等服务。浦灵生物建立了符合制药工业标准的转化医学中心,已与众多国内外TOP药企、生物技术公司、学术机构研究建立了长期合作。
探索更多,合作共赢
· 官方网站:www.prisysbiotech.com
· 电子邮箱:bd@prisysbiotech.com
· 公司地址:上海市奉贤区金海公路6055号35号楼