慢性肾病(CKD)已成为全球性的公共卫生问题,其特征在于肾功能呈慢性、进行性减退。肾纤维化,尤其是肾小管间质纤维化,是几乎所有进行性慢性肾病发展至终末期肾病的最终共同通路。其发病机制复杂,涉及慢性炎症、TGF-β 信号通路、氧化应激、代谢紊乱以及遗传易感性等多种因素。
为了深入探究慢性肾病的发病机制并研发新的治疗策略,科学家们依赖于有效的疾病模型。其中,单侧输尿管梗阻(UUO)模型因能够更好地模拟人类梗阻性肾病的病理过程而备受瞩目。

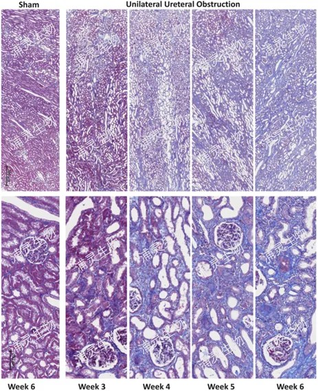
单侧输尿管梗阻(UUO)的肾脏中的肾细胞相互作用
非人灵长类(NHP)慢性肾病模型的优势
非人灵长类动物(NHP)慢性肾病模型,能够很好地模拟人类慢性肾脏病及其发展为纤维化的关键特征:
进行性肾纤维化:NHP 模型展现出间质纤维化的逐渐发展,其特征是胶原蛋白等细胞外基质 (ECM) 蛋白的过度沉积,这反映了人类 CKD 中的纤维化过程。
炎症反应:与人类 CKD 类似,NHP 模型在肾脏内表现出持续的炎症反应,伴有炎症细胞浸润和促纤维化细胞因子的释放。
肾功能下降:NHP 模型显示肾功能进行性下降,通过肾小球滤过率 (GFR) 和其他指标来衡量,这反映了人类 CKD 中观察到的功能恶化。
相似的组织病理学特征:NHP 模型表现出与人类肾纤维化非常相似的组织病理学特征,包括肾小管萎缩、间质炎症和肾小球硬化。
与啮齿动物模型相比,NHP 慢性肾病模型具有独特优势:
更接近人类疾病:NHP 的肾脏和免疫系统与人类更相似,因此能够更准确地反映人类疾病的进展和对治疗的反应。
更大的肾脏尺寸:NHP 肾脏的尺寸更大,可以进行更详细的影像学检查和肾脏结构和功能分析,从而更全面地了解疾病过程。
更相似的药物代谢:与啮齿动物相比,NHP 的药物代谢途径与人类更相似,因此可以更可靠地预测药物在临床试验中的疗效和安全性。
浦灵生物肾纤维化模型



单侧输尿管阻塞(UUO)后肾脏纤维化的进展情况:肾脏组织中胶原蛋白的积累情况,其中胶原蛋白被染成蓝色。从第3周开始,可以看到明显的管状扩张和胶原蛋白积累。随着时间的推移,这些变化在第4周和第5周变得更加严重,到第6周达到高峰。这些变化与人类梗阻性肾病的病理特征更为一致,显示出更加严重的管状基底膜扩张和间质细胞浸润。这些结果验证了UUO模型在非人灵长类动物的适用性,以及其在研究肾脏纤维化和开发治疗方法中的潜在价值。
关于浦灵生物

*We respect your confidentiality and all information are protected.