+86-21-50435616
info@prisysbiotech.com
EN
LOGO红.jpg
  • 网站首页

  • 关于我们

    • 公司简介

    • 制药工业级规范的转化医学中心

    • FAQ

    • 大动物药理药效研究领航者

  • 服务项目

    • 转化医学

    • 安全药理评估

    • 非人灵长类疾病模型

  • 公司新闻

  • 联系我们

  • 00

    0000-00

    靶向白介素31(IL-31):自身免疫疾病药物研发新前沿,浦灵生物NHP模型助力临床前研究
    靶向白介素31(IL-31):自身免疫疾病药物研发新前沿,浦灵生物NHP模型助力临床前研究
  • 00

    0000-00

    【专家视角】深入解读药物免疫毒性非临床评价:策略、关注点与方法选择
    【专家视角】深入解读药物免疫毒性非临床评价:策略、关注点与方法选择
  • 00

    0000-00

    浦灵生物食蟹猴子宫内膜异位症模型
    浦灵生物食蟹猴子宫内膜异位症模型
  • 00

    0000-00

    助力膜性肾病(MN)创新药物研发:浦灵生物食蟹猴模型平台
    助力膜性肾病(MN)创新药物研发:浦灵生物食蟹猴模型平台
  • 00

    0000-00

    动物疾病模型 | 浦灵生物非人灵长类银屑病(Psoriasis)模型
    动物疾病模型 | 浦灵生物非人灵长类银屑病(Psoriasis)模型
  • 00

    0000-00

    动物疾病模型 | 浦灵生物非人灵长类RA(类风湿性关节炎)模型
    动物疾病模型 | 浦灵生物非人灵长类RA(类风湿性关节炎)模型
  • 00

    0000-00

    基于三维坐标系统的动物脑立体定位仪
    基于三维坐标系统的动物脑立体定位仪
  • 00

    0000-00

    浦灵生物2024年度报告:推进非人灵长类动物模型和临床前研究
    浦灵生物2024年度报告:推进非人灵长类动物模型和临床前研究
  • 00

    0000-00

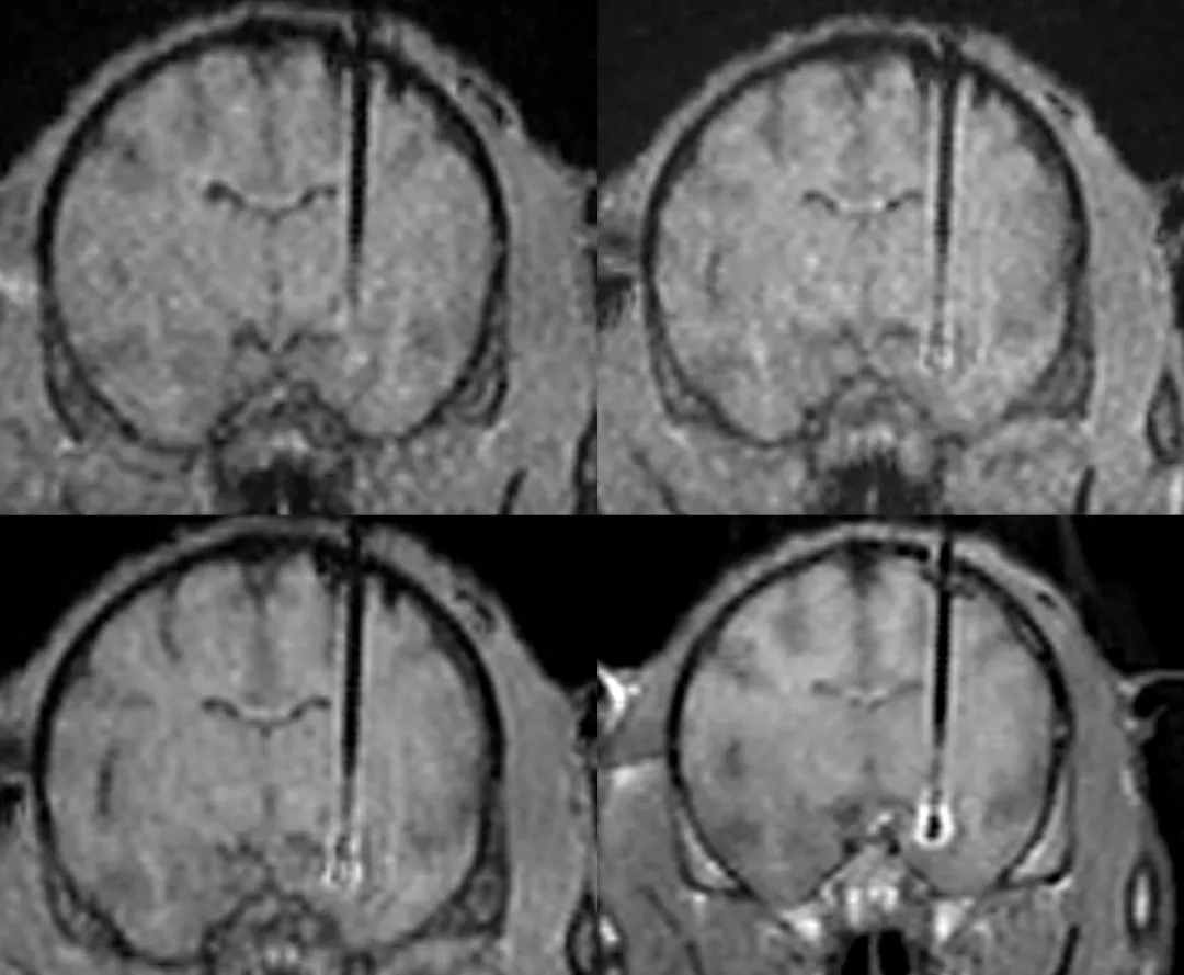
    实时术中MRI导航技术:助力FDA批准首个AADC缺乏症基因疗法
    实时术中MRI导航技术:助力FDA批准首个AADC缺乏症基因疗法
  • 00

    0000-00

    浦灵生物:探索食蟹猴MCAO模型的突破,助力中风研究与治疗创新
    浦灵生物:探索食蟹猴MCAO模型的突破,助力中风研究与治疗创新
  • <上一页
  • 1
  • 2
  • 3
  • 4
  • 5
  • 6
  • 7
  • 8
  • 下一页>

Copyright © 2024. 上海浦灵生物科技有限公司 All rights reserved.




Get in Touch

*We respect your confidentiality and all information are protected.

Submit

